
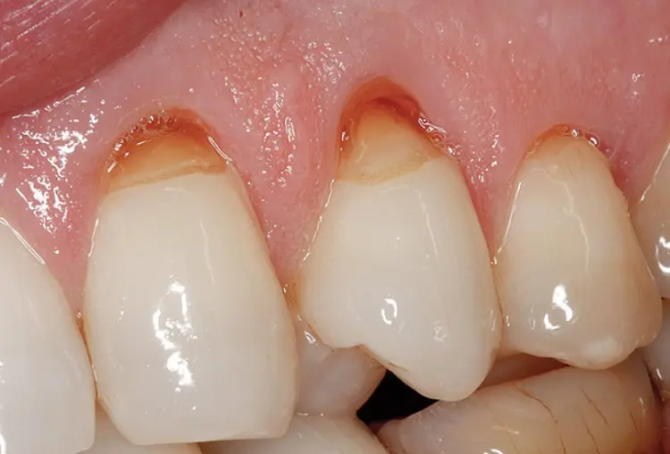
Abrasi dan erosi gigi adalah kondisi hilangnya lapisan terluar gigi (email) secara perlahan dan sering kali tidak disadari. Meski sama-sama menyebabkan gigi menipis, keduanya memiliki penyebab yang berbeda.
Abrasi terjadi akibat gesekan dari luar, seperti kebiasaan menyikat gigi terlalu keras. Sementara itu, erosi disebabkan oleh paparan asam yang melarutkan struktur gigi, baik dari makanan, minuman, maupun asam lambung. Jika tidak ditangani, abrasi dan erosi dapat menyebabkan gigi menjadi sensitif, mudah terkikis, sehingga membutuhkan perawatan lanjutan.
Nama lain: keausan gigi, tooth wear
Ciri utama: gigi menipis, sensitif, permukaan gigi cekung atau kasar
Penyebab
Abrasi Gigi
Abrasi disebabkan oleh gesekan mekanis yang terjadi berulang, antara lain:
- Menyikat gigi terlalu keras
- Teknik menyikat gigi yang salah
- Penggunaan sikat gigi berbulu keras atau kasar
- Pasta gigi dengan bahan abrasif tinggi seperti silika atau kalsium karbonat
- Kebiasaan menggigit benda keras (pulpen, kuku)
Erosi Gigi
Erosi terjadi akibat paparan asam yang melunakkan lapisan email gigi, seperti:
- Konsumsi minuman asam (soda, minuman energi)
- Makanan asam (jeruk, cuka, acar)
- Asam lambung naik ke rongga mulut (GERD, muntah berulang)
- Mulut kering yang mengurangi produksi air liur
Variasi
Abrasi dan erosi gigi dapat muncul dalam beberapa bentuk, tergantung lokasi, penyebab, dan pola keausannya:
- Abrasi Servikal
Abrasi yang terjadi di area leher gigi, yaitu perbatasan antara gigi dan gusi. Kondisi ini membuat bagian tersebut tampak cekung atau terkikis. Biasanya disebabkan oleh kebiasaan menyikat gigi terlalu keras atau teknik menyikat yang kurang tepat.
- Abrasi Permukaan Gigi
Keausan yang terjadi pada permukaan luar gigi akibat gesekan berulang, misalnya dari penggunaan sikat gigi berbulu keras atau kebiasaan menggigit benda tertentu. Permukaan gigi dapat terasa kasar dan terlihat tidak rata.
- Erosi Permukaan Depan Gigi
Erosi yang mengenai bagian depan gigi, terutama gigi depan atas dan bawah. Lapisan email gigi perlahan melarut akibat paparan asam dari luar, seperti minuman bersoda atau jus buah, sehingga gigi tampak lebih tipis dan transparan.
- Erosi Permukaan Dalam Gigi
Erosi yang terjadi pada bagian dalam gigi, yaitu sisi gigi yang menghadap ke lidah atau langit-langit mulut. Jenis ini disebabkan oleh paparan asam dari dalam tubuh, seperti asam lambung yang naik ke rongga mulut, sehingga lapisan email gigi dapat terkikis tanpa disadari.
- Kombinasi Abrasi dan Erosi
Kondisi ketika abrasi dan erosi terjadi bersamaan pada gigi yang sama. Misalnya, gigi yang sudah melemah akibat erosi asam menjadi lebih mudah terkikis oleh gesekan saat menyikat gigi.
Komplikasi
Tanpa perawatan yang tepat, abrasi dan erosi gigi dapat menimbulkan:
- Gigi sensitif terhadap panas, dingin, atau manis
- Perubahan warna gigi menjadi lebih kuning
- Gigi tampak lebih pendek atau menipis
- Nyeri saat mengunyah
- Risiko gigi berlubang yang lebih tinggi
- Terkikisnya struktur gigi
Gejala Umum
Gejala yang sering dirasakan antara lain:
- Ngilu saat makan atau minum tertentu
- Permukaan gigi terasa kasar atau cekung
- Gigi tampak transparan di bagian ujung
- Ketidaknyamanan di sekitar gusi
- Nyeri gigi tanpa adanya lubang yang jelas
Pencegahan
- Gunakan sikat gigi berbulu lembut
- Sikat gigi dengan tekanan ringan dan teknik yang benar
- Tunggu 30 menit setelah konsumsi makanan atau minuman asam sebelum menyikat gigi
- Batasi konsumsi makanan dan minuman asam
- Perbanyak minum air putih
- Gunakan pasta gigi khusus gigi sensitif bila diperlukan
Penanganan
Penanganan disesuaikan dengan tingkat keparahan kondisi gigimu:
- Aplikasi fluoride untuk memperkuat email gigi
- Penambalan pada area gigi yang terkikis
- Veneer atau mahkota gigi pada gigi dengan tingkat abrasi dan erosi yang parah
- Evaluasi kebiasaan menyikat gigi dan pola makan
- Penanganan kondisi medis seperti gangguan asam lambung bila ada.
Baca Juga Masalah yang terjadi pada Gigi dan Mulut lainnya:
Ditulis dan ditinjau secara medis oleh drg. Nurrachma Hakim, artikel ini disajikan semata-mata untuk tujuan edukasi dan bukan sebagai pengganti diagnosis atau perawatan profesional. ConfiDental sangat menyarankan Confi People untuk tidak menunda pencarian pertolongan medis; segera temui dokter gigi terdekat atau datangi klinik gigi terdekat untuk pemeriksaan fisik langsung jika keluhan berlanjut, atau hubungi tim kami melalui WhatsApp untuk mendapatkan arahan penanganan yang lebih tepat.
Referensi
- Chan, A. K. Y., Tsang, Y. C., Lai, E. H.-H., & Chu, C. H. (2024). Tooth Wear in Older Adults: A Review of Clinical Studies. Geriatrics, 9(1), 12. https://doi.org/10.3390/geriatrics9010012
- FDI World Dental Federation (2024). Tooth Wear. International dental journal, 74(1), 163–164. https://doi.org/10.1016/j.identj.2023.10.007
- Salari, N., Sadeghi, A. H., Abdolmaleki, A., Zarei, H., Ghaderi, A. H., Shohaimi, S., & Mohammadi, M. (2025). The global prevalence of tooth wear in general population: A systematic review and meta-analysis. Public Health in Practice, 11, Article 100708. https://doi.org/10.1016/j.puhip.2025.100708